本病例讨论为数年前的临床病例记录,病史简短,在治疗数天后情况好转便出院,最终并未得到确切的诊断结果。
关于尿潴留,现在的异常基本是以尿潴留为原因而引起,所以在通过检查来确认异常的同时,必须要立即对尿潴留进行处置。
豹猫子宫蓄脓病是指异常的子宫内膜继发病原微生物感染引起的子宫腔内积有脓液的疾病。
骨骼的原发性肿瘤可能起源于骨组织的任意组织及任意部位,如骨膜、骨内膜或髓腔,最常见的肿瘤起始于骨骼的间充质组织和软骨组织,分别形成骨肉瘤和软骨肉瘤。
肥大细胞瘤的发病年龄主要在中年,但3周龄至19岁的动物都曾见到。所有品种都有可能发病,易感品种包括拳师、英牛、金毛、拉布拉多和雪纳瑞等。
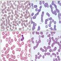
淋巴肉瘤是一种淋巴样 恶性肿瘤,主要影响淋巴结和其他脏器如脾脏、肠 道、肝脏等。很多品种的犬,从中年到老年犬都可以患本病,多数好发于5-11岁的犬。